English TOP >
臨床遺伝学のページ
前遺伝子診療センター 沼部 博直
TOP
臨床遺伝学
遺伝関連画像
蒙古斑
教育用画像
染色体核型写真
- 遺伝関連画像 -
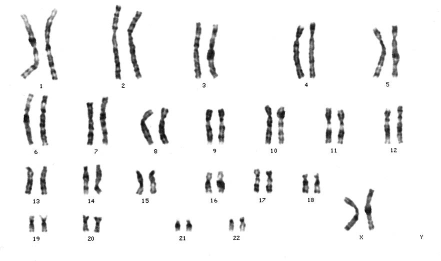
正常女性核型
正常男性核型
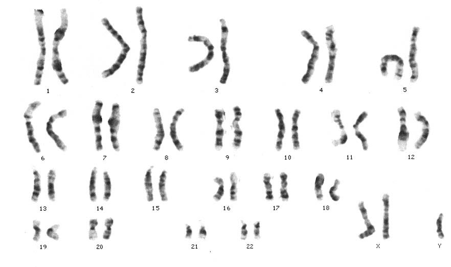
3倍体
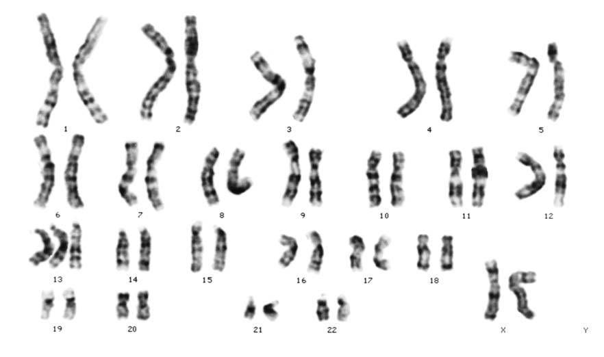
Turner症候群
Klinefelter症候群
Down症候群女性1
Down症候群女性2
Down症候群女性3
Down症候群男性1
Down症候群男性2
トリソミー13症候群
トリソミー18症候群
5p-症候群
Down症候群FISH
Williams症候群FISH
English page >
臨床遺伝学のページ
前遺伝子診療センター 沼部 博直
臨床遺伝学のページ
前遺伝子診療センター 沼部 博直
MENU
TOP
臨床遺伝学
遺伝関連画像
蒙古斑
教育用画像
English TOP >
MENU